Quantitative Analysis in Medicine Biology
Research for Better Life
What we do?
The main goal of the QAMEBI research group is to use artificial intelligence to improve the radiologists’ understanding of conventional medical imaging, and help them make better diagnoses. Besides, we are studying on bio-engineering approaches like optical methods that become a hot and up-and-coming procedures to introduce new endpoints and shed light on microscopic interactions. The QAMEBI research group is not affiliated to any organization or company.
About our people
Ali Abbasian Ardakani received his Ph.D. degree in Medical Physics in 2018 from Iran University of Medical Sciences (IUMS) with a specialization in medical imaging and utilization of artificial intelligence in radiological diagnosis …
- B.Sc. in Optic & Laser Engineering (2008-2012)
- M.Sc. in Medical Physics (2012-2015)
- Ph.D. in Medical Physics (2015- 2018)

COVID-19 Diagnosis
The COVIDiag software has been introduced to diagnose COVID-19 cases based on CT findings.

Z-scan method to measure the nonlinear optical behavior of cells for evaluating the cytotoxic effects of chemotherapy and hyperthermia treatments
The aim of this study was to introduce the Z-scan technique as a fast, accurate, inexpensive, and safe in vitro method to distinguish the cytotoxic effects of various treatments…

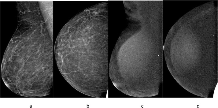
Diagnostic performance of contrast-enhanced spectral mammography compared to conventional mammography across varying breast densities
This study retrospectively included 326 adult female patients. The study protocol was pre-registered on the Open Science Framework (OSF) platform. Each image was annotated and evaluated by a minimum of two expert radiologists, while …

Diagnostic ability of 384-slice computed tomographic angiography in prediction of myocardial ischemia in patients with myocardial bridging (MB) as compared to SPECT-MPI examination
The aim of this study was to evaluate the ability of CCTA to predict myocardial ischemia in patients with MB…